AI-Powered Radiology Analysis

AI Assistant for
Veterinary Radiology

Upload a radiograph, get instant AI analysis with highlighted regions, diagnostic hints, and AI-assisted report generation. You stay in control.

VeterCloud — AI Analysis
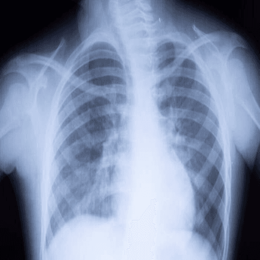
Thoracic X-ray Demo
AI Focus Overlay
AI Focus Active
AI Classification
Atelectasis
Confidence: 86.2%
ConvNeXt-Tiny • 8 pathologies
Clinical AI Hints
Left lower lobe atelectasis with volume loss
Mediastinal shift toward affected side
Cardiac silhouette within normal limits
Select hints → Generate Report
88%
Classification Accuracy
30+
Pathologies Detected
< 3s
Analysis Time

Key Features

Tools designed to assist, not replace, veterinary professionals

AI Classification

Deep learning model identifies potential pathologies with 88% accuracy. Always verify with clinical judgment.

AI Focus Visualization

See exactly where the AI is looking. Heatmap overlays show regions that influenced the classification.

AI Hints for Reports

Get diagnostic hints you can select and include in your report. You choose what to use.

AI Chat Assistant

Discuss findings with an AI assistant. Ask questions about diagnosis, treatment options, and more.

Fast Analysis

Get AI insights in seconds. Upload an image and see results almost immediately.

You Stay in Control

AI provides suggestions, but you decide what goes in the final report. Your clinical judgment comes first.

How It Works

Simple workflow, powerful results

1

Upload Image

Upload a radiograph (DICOM, JPEG, or PNG).

2

Review AI Analysis

See classification, AI Focus heatmap, and diagnostic hints. Select what you want to use.

3

Generate Report

Build your report with selected hints. Export or continue editing.

Try the Demo

See how VeterCloud can assist your radiology workflow. No signup required.

Open Interactive Demo